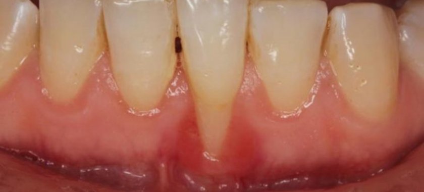
Diş əti problemi olan qadınların hamilə qalma şansları 4 dəfə aşağıdır.
Bu fakt Helsinki Universitetində 256 qadın üzərində aparılan araşdırma nəticəsində məlum olub. Bir il ərzində onların ağız, diş və ginekoloji müayinələri edilib. Bir il sonra hamilə olmayan qadınların tüpürcəyində P.Gingivalisti bakteriyası müşahidə olunub. Mütəxəssislər bildirib ki, bu bakteriyalar yumurtlamağı və cinsinin implantasyonunu qarşısını alır. Hamilə qalmaq şansı diş əti xəstəliyi olmayan və bakteriya müəyyənləşdirməyən qadınlarda isə 4 qat daha çox olur.
Ginekoloqların sözlərinə görə, uşaq sahibi olmaq istəyən qadınlar dişlərinə diqqət etməlidir. Çünki diş əti infeksiyasına səbəb olan bakteriyalar hamilə qalmaq prosesini ləngidir.
Diş əti xəstəliyinə səbəb bu olan bakteriya (P. Gingivalis) tüpürcəkdə yerləşir və bir il ərzində hamiləlik şansını 3 dəfə azaldır. Bu bakteriya həm diş ətlərini, həm də altında olan sümük toxumasını zəhərləyir./publika
İcmal.Az

























